
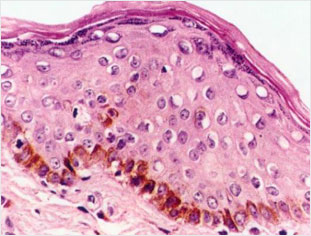
白癜风患者久治不愈的首要关键点在于未能科学认识到疾病的真正病因。白癜风的发病机理: 黑色素细胞缺失或丧失,才是导致白癜风发病根本原因。

黑色素种植治疗疗法,属于白癜风手术治疗方法之一,它通过患者自体表皮移植的方法,快速提取患者皮肤内功能活跃的黑素细胞,经过培养,直接种植到患者白斑病灶部位,从而介入细胞生长因子,使皮肤内黑色素细胞快速成活,大量繁殖,短期恢复正常肤色。
黑色素种植关键3步

提取:采用负压吸引、液氮等方法使局部起泡从而达到真表皮黑色素细胞分离。
技术详解
打磨:采用治疗仪对病灶处进行精细化微创打磨处理,从而为后续种植做准备。
主任解析
移植:将成活黑色素细胞移到病变区,黑色素细胞在病变区成活扩散直至白斑区恢复正常肤色。
技术详解





